Leistungen
Konservativ
Einleitung gezielter Diagnostik von Beschwerden am gesamten Bewegungsapparat
Erarbeitung eines individuellen Behandlungskonzepts
Spezielle und gezielte Schmerztherapie
Heil- und Hilfsmittelversorgung
Nichtoperative Arthrosebehandlung, Hyaluronsäureinjektionen
Stosswellenbehandlung (fokussierte – hochenergetische ESWT) für Kalkschulter, oberen und unteren Fersensporn, Tennisellenbogen, Triggerpunktbehandlung












Operativ
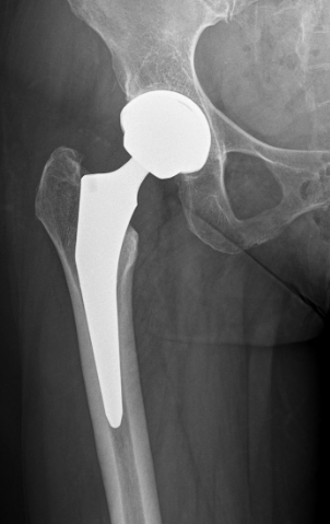
Minimal invasive Hüftgelenkersatz
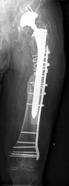
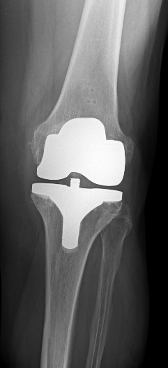
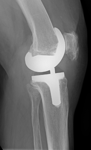
Kniegelenksersatz mit Computer-assitierte Navigation
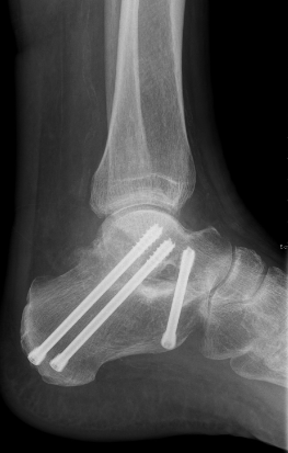
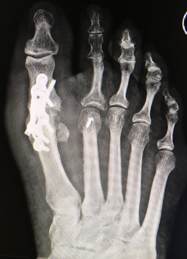
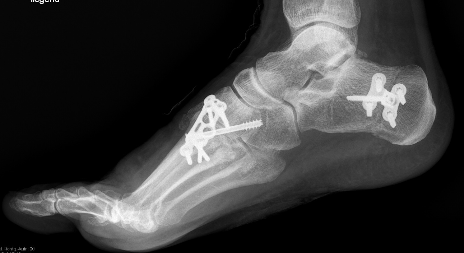
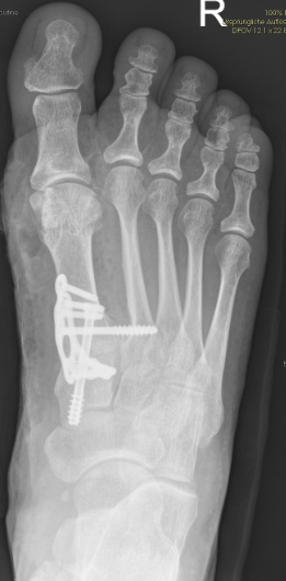
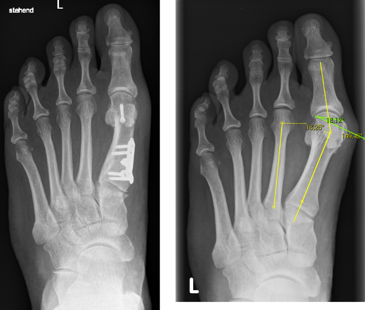
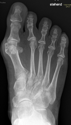
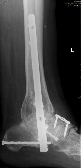
Gesamtes Spektrum der Fuß und Sprunggelenkchirurgie (Plattfuß, Spreizfuß, komplexe Vor-, Mittel- und Rückfußkorrektur, Krallenzehen und Hallux valgus/rigidus, Morton Neurinom)
Chronische und akute Achillessehnenproblematik
Arthroskopische Chirurgie am Knie und Sprunggelenk inklusive Knorpelregeneration sowie Außen-/Innenband Rekonstruktion
